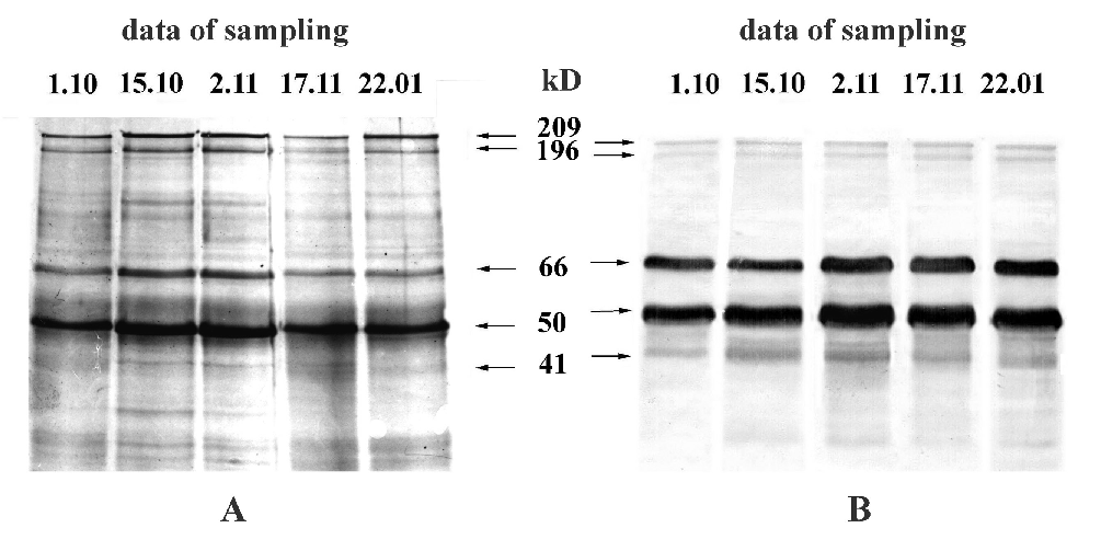
Fig. 18. SDS-PAGE of (A) and Western blotting with antibodies to RABs and (B) winter wheat crowns with heat-stable proteins. Proteins were extracted from freshly sampled crowns frozen in liquid nitrogen. Electrophoresis was in 10 % SDS-PA. Proteins were stained with Coomassie R-250 (A). Proteins were transferred to membrane and probed using anti-RAB antibodies (B). The molecular weights of the proteins are indicated in the center.
