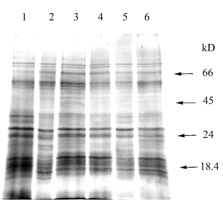
Fig. 20. Thermostable proteins from the 3-day-old etiolated control seedlings of T. aestivum (1), T. spelta (2), T. zhukovskyi (3), T. timopheevii (4), T. durum (5), and T. monococcum (6). Molecular masses of the standard proteins are indicated in the right.
