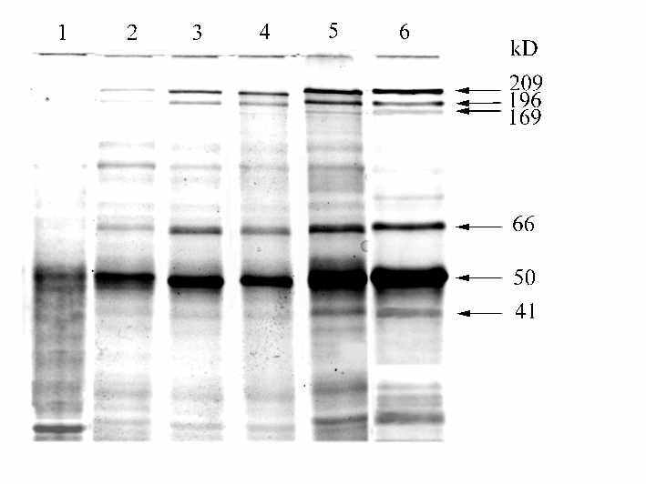
Fig. 23. Accumulation of heat-stable proteins during hardening of winter wheat seedlings. Seedlings were grown on moist filter paper in a thermostat at 20 C for 3 days and then cold acclimated at 4 C in the darkness for 9 days. Unhardened 3-day-old seedlings were used for reference (1). Hardened shoots were cut at the end of the 1st (2), 3rd (3), 5th (4), 7th (5), and 9th (6) days. Water-soluble proteins from seedlings were boiled in a water bath for 20 min, centrifuged at 17000 x g for 15 min; the pellet was discarded; and proteins were precipitated from the supernatant with 10 % TCA and used for electrophoresis. Electrophoresis was in 13 % SDS-PAGE. Proteins were stained with Coomassie R-250. Molecular weights of the heat-stable COR proteins are indicated on the right.
