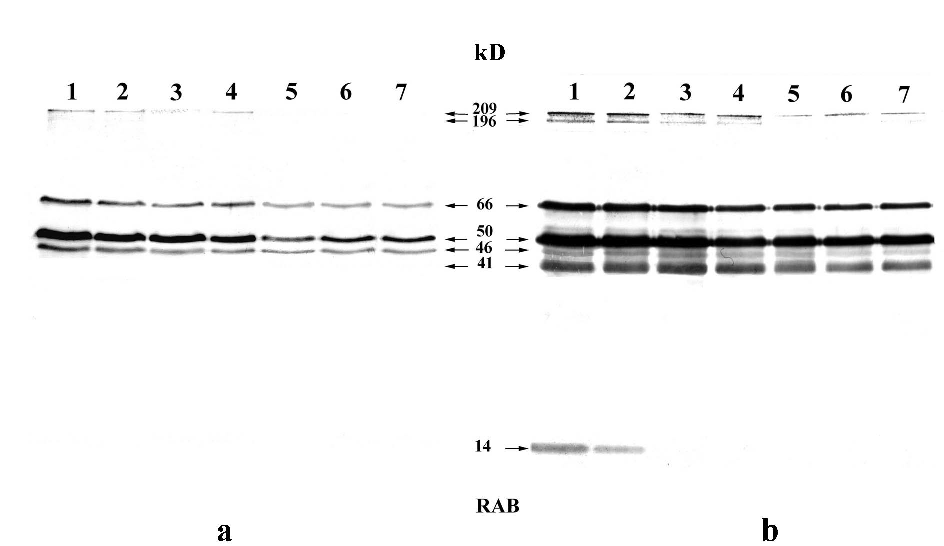
Fig. 30. (b) seedlings of wheat. Electrophoresis was in 10 % SDS-PAGE. Proteins were transferred to membrane and probed using anti-RABs antibodies. The figure illustrates a representative immunochemical membrane. Molecular weights of the proteins are indicated in the center. Lanes 1-3 = winter wheat cultivars Zalarinka, Irkutskaia ozimaia, and Bezostaya-1; and lanes 4-7 = spring wheat cultivars Angara-86, Tyumenskaia-80, Rollo, and Drott.
