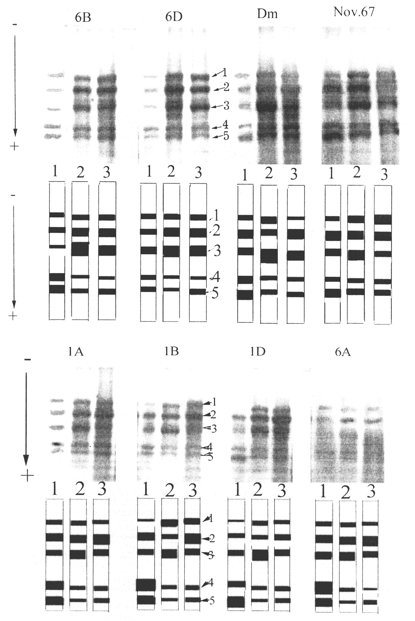
Fig. 9. SDS-PAGE of high-molecular-weight glutenin subunits for the group 1 and 6 homoeologous chromosomes. Lane 1, glutenin subfraction extracted from flour with 0.05 m acetic acid; Lane 2, glutenin subfraction extracted from flour with 4 m urea; and lane 3, glutenin subfraction extracted from flour with 4 m urea and 2-mercaptoetanol.
