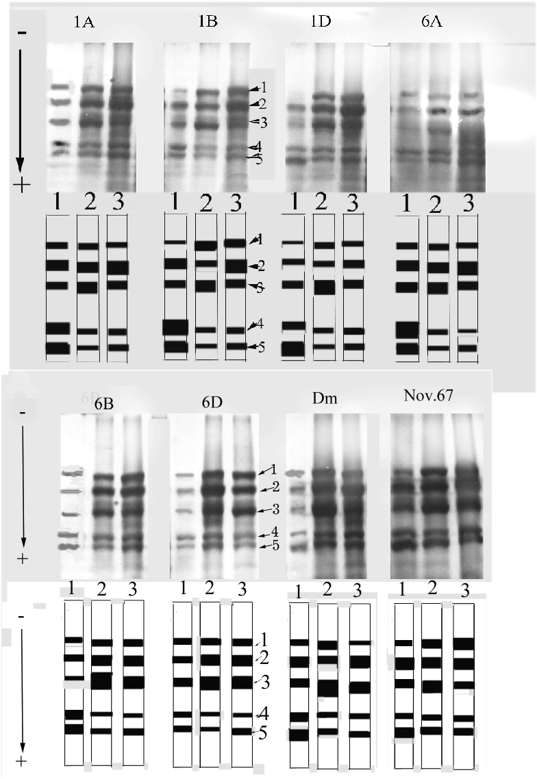
Fig. 14. Effect of individual chromosome substitutions of homeologous group 1 and 6 chromosomes on relative content of high-molecular-weight glutenin functional fractions in substituted wheat lines Diamant 1 (Dm)­Novosibirskaya 67 (Nov.67).