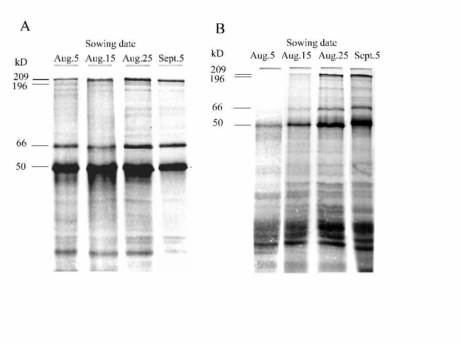
Fig. 24. Heat-stable COR proteins extracted from crowns of winter wheat plants of different ages. Seed was sown on 5, 15, and 25 August and 5 September and sampled on 2 April, 1996. Protein was extracted from freshly sampled crowns frozen in liquid nitrogen (a) or from crowns thawed at 20 C for 1 day (b). Electrophoresis was as described in the legend for Fig. 23. Molecular weights of heat-stable COR proteins are indicated on the left.
